By Elyssa East, The Guardian, December 13, 2018

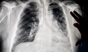
A chest x-ray in the office of Dr Brandon Crum in Pikeville, Kentucky. Photograph: Jeff Swensen/Jeff Swensen for The Guardian
Dr James Brandon Crum was alarmed. For months, unemployed coalminers had been coming into his clinic in Coal Run Village, Kentucky, seeking chest radiographs.
One patient in 2015 stood out. He was in his early 40s, about the same age as Crum, and had three children at home, just like him, but he could barely walk. The 68ft hallway between the x-ray room and Crum’s office might as well have been Mount Everest’s summit. The miner repeatedly stopped to catch his breath. Crum, who had worked in his family’s coalmine as a youth, knew that this man, who was suffering from progressive massive fibrosis – the severe or complicated form of black lung disease – could just as easily have been him.

A chest x-ray in the office of Dr Brandon Crum in Pikeville, Kentucky. Photograph: Jeff Swensen/Jeff Swensen for The Guardian
Dr James Brandon Crum was alarmed. For months, unemployed coalminers had been coming into his clinic in Coal Run Village, Kentucky, seeking chest radiographs.
One patient in 2015 stood out. He was in his early 40s, about the same age as Crum, and had three children at home, just like him, but he could barely walk. The 68ft hallway between the x-ray room and Crum’s office might as well have been Mount Everest’s summit. The miner repeatedly stopped to catch his breath. Crum, who had worked in his family’s coalmine as a youth, knew that this man, who was suffering from progressive massive fibrosis – the severe or complicated form of black lung disease – could just as easily have been him.
Back in his office, where papers, folders and Post-it Notes cover practically every available surface, Crum started asking his patients detailed questions. There was a mystery: why was he suddenly seeing so much severe black lung – an old man’s disease – thought to be an illness of the past, appearing in younger men with significantly less time in the mines?
Between the miners visiting his clinic and the cases coming to him as a federally certified B-reader, or expert in special x-ray readings to classify dust diseases affecting the lungs, Crum was shocked. Coal workers’ pneumoconiosis, commonly known as black lung disease, an incurable but entirely preventable illness caused by inhaling coalmine dusts, was showing up in x-rays at his clinic far above rates reported by the National Institute for Occupational Safety and Health (Niosh).
After Congress passed the Federal Coal Mine Health and Safety Act in 1969, which made the elimination of black lung a national goal, coal workers’ pneumoconiosis dropped to historically low rates by the 1990s. Progressive massive fibrosis, the severe or complicated form of the disease, fell to such scant levels it was considered rare. By 2012, though, Niosh announced that black lung was rising.
After interviewing the miner, Crum started tracking every case of simple and complicated black lung that he was seeing. What he observed beat Niosh’s updated statistics by a country mile.
After Congress passed the Federal Coal Mine Health and Safety Act in 1969, which made the elimination of black lung a national goal, coal workers’ pneumoconiosis dropped to historically low rates by the 1990s. Progressive massive fibrosis, the severe or complicated form of the disease, fell to such scant levels it was considered rare. By 2012, though, Niosh announced that black lung was rising.
After interviewing the miner, Crum started tracking every case of simple and complicated black lung that he was seeing. What he observed beat Niosh’s updated statistics by a country mile.
Crum’s larger issue in 2015, though, was that, curiously, no other black lung specialists in Kentucky were observing the same trend. If they did, they certainly weren’t saying anything about it.
Invisible and deadly
Black lung disease is caused by coal dust, which thickens the air and blackens a miner’s face. Increasingly, respirable crystalline silica, which is invisible to the naked eye, and deadlier, is also to blame.
Once these dusts enter a miner’s lungs, he will take them with him to the grave. Before then, they will sit quietly. Unnoticed. Unseen. Until enough white blood cells accumulate around the particulates to be visible on an X-ray like grains of salt sprinkled across a black tablecloth. These coal macules mimic ordinary lung tissue and other possible lung ailments and are frequently unnoticed or misdiagnosed.
Though the nodules are part of the body’s ongoing effort to rid itself of the dusts, they can become their own problem. Continued exposure to dust will grow into scar tissue or fibrosis culminating in the complicated form of the disease. In time, the scars will become as big as a grain of rice. A dime. A quarter. A half dollar. Lung capacity declines. Hypoxemia (low blood oxygen levels) sets in.
All the internal organs are taxed, particularly the heart and brain, as the scar tissue slowly “eats up” a miner’s lungs. The body just won’t quit trying to rid itself of these once invisible particulates until the day finally comes when the miner does not have sufficient lung capacity left with which to breathe. Ashes to ashes. Dust to dust.
Though Crum watched his grandfather die a drawn-out death from black lung and his father also suffers from the disease, he did not decide to become a doctor to work on black lung. Instead, the disease found him.
A fourth-generation coalminer from an owner-operator family, Crum spent seven years working in the mines on weekends and summers from the age of 14 to 21.
Crum was reared in a typical Appalachian way in Elkhorn Creek, “a holler”, as he puts it, with generations of extended family all living in the vicinity of the family’s mines. He attended public school, where teachers wanted to move him ahead a grade owing to his above-average intelligence. His mother refused and gave her son extra work instead. He played little league, attended church (where his mother served as the pianist) on Sundays and Wednesdays, participated in Boy Scouts, and gathered with his kin for Sunday dinner. He hunted and fished, doing almost all of these things with his brother, Joshua, who is 13 months Crum’s junior, in tow.
Crum started working in the mines because he had been in trouble for fighting. His mother, Shawna, says, “He didn’t initiate fights, but he didn’t back down, either.” His father, James, handled the problem by saying, “If you’ve got time for that then you’ve got time for work.”
His first job was picking rock out of coal on the belt line. Later, he shoveled the stuff and handled rock dusting, which involves blowing pulverized material in the work area to reduce the risk of explosions caused by accumulating dust. “I didn’t give them good jobs,” Crum’s father says, referring to both his sons. “I gave them hard jobs. They had to learn to work.”
Crum decided to become a doctor, enrolling at the University of Pikeville. After completing his residency in Ohio, he worked for two years as a radiologist at Norton community hospital, just over the mountains in the heart of Virginia coal country. There, Crum saw enough black lung to pique his interest. Then he and Joshua moved home to “America’s Energy Capital”, as the Pike county highway signs boast, and opened their clinic, right as coal began to crash.
‘Diseases of despair’
“The media here buried this thing,” says Linda Adams, 53, who recently lost a fifth family member to the disease this past July. She and others affected by black lung’s resurgence held rallies and tried to get legislators to confront the crisis as far back as 2014. “But then Brandon Crum came in here and blew the lid off of this whole thing.”
The soft-spoken Crum does not come across as the type to blow the lid off of anything. His glasses are small and wire-rimmed, and his midsection thickening. Speaking with a distinct mountain twang and attending the Free Will Baptist church, an evangelical denomination that continues old-timey traditions like foot washing and immersion baptism, Crum stands with one foot in the old world of Appalachia and one in the new.
As a radiologist, spending his days in his office surrounded by multiple computer monitors, reading up to 100 x-rays a day, he is the doctoring world’s equivalent of a geek, someone seemingly more comfortable with data than people. Nonetheless, Crum continued questioning patients to determine their coal dust exposure.
At stake, as Crum began gathering stats over a 20-month period that began three years ago, was the health of the region’s principal workers in a crashing industry beset with layoffs. Families in a region already struggling with poverty and “diseases of despair”, such as addiction, had another cross to bear.
Also at risk were millions in state and federal black lung benefits. After thousands of miners went on strike in 1969 to insist on compensation for black lung, benefit programs were developed. Appalachia’s endemic poverty worsens when miners get too sick to work. However, over the near 50-year span of these benefit programs, many ailing miners have never seen a reward, which is part of why B-readers, such as Crum, are so important. Niosh intended to verify that applicants for federal and state benefits suffered a lung ailment caused by coalmine dusts, and to classify the type and severity of the disease, which is critical for determining award amounts.
With no one else seeing similar trends, Crum’s reputation was on the line, too. “Most radiologists read x-rays in a room and then they see the reports and they don’t think about the public health consequences or what that means,” says pulmonologist Dr Robert Cohen, also a B-reader.
But Crum took another unusual step and alerted Niosh about what he was reading in June 2016. Though Niosh sends a white van wending through the region’s mountains to monitor the health of miners, participation in their voluntary survey was low. The cases and individuals showing up in Crum’s clinic were unexpectedly providing him with a true sampling of the population.
By December of that year, Niosh confirmed Crum’s discovery. The number of black lung cases in Crum’s office was eight times their rates. His single clinic also charted 60 cases of complicated black lung over a 20-month period. This was far and above the 99 cases in the entire nation that Niosh had identified over a five-year period going back to 2011.
By December of that year, Niosh confirmed Crum’s discovery. The number of black lung cases in Crum’s office was eight times their rates. His single clinic also charted 60 cases of complicated black lung over a 20-month period. This was far and above the 99 cases in the entire nation that Niosh had identified over a five-year period going back to 2011.
An additional study corroborated Crum’s findings: 416 cases of severe black lung had been reported in three Virginia clinics. Niosh recently declared that the US is facing an epidemic, affecting one in 10 miners nationally, and one in five – twice the national rate – in the central Appalachian states of Kentucky, Virginia and West Virginia.
Today’s black lung rates are higher than the ones that inspired miners and physicians to push for the Federal Coal Mine Health and Safety Act of 1969 almost 50 years ago.
“Being from this area and being from a mining family, you always had the older people who had black lung,” says Crum. “It affected them in their 70s. Now with it affecting men as young as their 30s, you have it not only affecting them, you have it affecting the younger children and their families and wives.”
As a fourth generation miner, Crum says, “It’s personal for me.”
“It’s going to be the responsibility of somebody to pay for these men’s healthcare,” says Crum. “Or if they go to transplant.” A lung transplant can generally help a miner survive an additional five years, but costs at least $1.2m, which coal companies are unlikely to be willing to pay.
Earlier this year, Kentucky’s Republican-led legislature passed House Bill-2 (HB-2), which curtails worker’s compensation, including black lung benefits, to 15 years. The bill also cuts radiologists like Crum from the certification process, limiting the doctors who can approve benefits to four pulmonologists. Three of whom consult for the coal industry.
Black lung advocates see HB-2 as singling out Crum. Pikeville black lung claimant attorney Phillip Wheeler openly refers to the bill as “The Dr Brandon Crum Exclusion Bill”. The Appalachian Citizens’ Law Center staff attorney Evan Barret Smith, who edits the blog Devil in the Dust, which is devoted to the disease, says, “He saw more severe black lung coming into his office than any of the official statistics said he should be seeing. By the way, that’s the same reason that the industry people say he must be wrong.”
When asked about this criticism, J Tyler White, president of the Kentucky Coal Association, the industry’s lobbying organization, said, “I believe this is a very narcissistic approach when the focus should be providing miners with the best qualified medical professional.” (White testified at a state hearing in favor of HB-2’s passage.) The number of physicians that can certify the presence and severity of black lung disease are at issue, though, not claimants’ actual medical care.
Legal hurdles
Black lung costs are exorbitant. The federal Mine Safety Health administration reports that between 1968 and 2014, in which an estimated 76,000 miners died from black lung disease, federal compensation alone cost $45bn. Federal black lung awards, which are granted only in the event of total disability, prove difficult to win, though.
Unless Congress takes action in these final weeks of 2018, the federal Black Lung Disability Trust Fund will add to the current crisis on 1 January 2019 when the coal tax that pays for it reverts to 1977 levels, which will reduce its revenue by 55% in the middle of the epidemic. As the Lexington HeraldLeader reports, the coal industry has poured over $7m into congressional races in the past two years. Taxpayers, rather than the coal industry, may end up footing the bill for a disease caused by industry negligence and cheating.
While state benefits have historically been easier to receive, HB-2 shows that this is changing.
HB-2 “stacks the deck in favor of the companies”, says Wheeler. Applying for black lung benefits is an adversarial process in which the coalminer is the plaintiff and the coal company is the defendant. The plaintiff must prove black lung is disabling, and that it came from coalmining. The company’s job is to defend itself and not have to pay benefits.
Some of the things coal company doctors come up with to fight a claim are so absurd black lung advocates call them “ABBL” – or “anything but black lung” – disease. Take sarcoidosis, which is most common in African American females from age 20 to 40. Its incidence among Caucasian males is about 0.0001%. They can also limit the number of physicians who can diagnose the disease to create a backlog of cases to ensure that they pay as few benefits as possible.
Kentucky has already succeeded in creating backlogs through various means. Before HB-2 went into effect this July, the wait to receive black lung benefits was about two years.
While the industry can’t get away with targeting a competent physician alone for finding high rates of severe disease, it can find a justification for eliminating an entire class of doctors, such as radiologists. “No one can say that his readings are wrong,” Smith says about Crum, certainly not after Niosh confirmed them. “So, they just try to find a way to knock him out of the system.”
Kentucky is the sole state to exclude radiologists from the black lung benefit process. It’s a move doctors say is nonsensical, particularly during an epidemic. “Without the x-ray, you cannot diagnose,” says Dr Sanjay Chavda, a pulmonologist in western Kentucky and former B-reader. “Those in radiology would be more qualified to read these x-rays than pulmonary specialists. Crum may read 100 x-rays in a day, but we read 10 in a day. His exposure is much broader.”
A bipartisan pair of local legislators are pushing back, though. In mid-November, Angie Hatton, a Democrat, and Robert Goforth, a Republican, pre-filed a bill to reverse HB-2’s restriction of B-readers to pulmonary specialists. The bill will be taken up in the 2019 general assembly starting in January.
Experts contend that, had the cases that ended up in Crum’s load been spread out over 200 clinics, we would still not know this epidemic exists. Pike county, which borders West Virginia and Virginia, is the epicenter for a reason. Hazard No 4, Upper Wax, Pardee, Amburgy, Poplar Lick: central Appalachian coal seams have their own particular poetry and lethalness. Now that thicker seams of coal have been mined out and more rock must be cut, miners have been exposed to greater amounts of respirable crystalline silica dust, which is largely to blame for the spike in complicated black lung.
There are other causes, too: more powerful machinery, longer workdays, fewer days off for miners to rest their lungs and a culture of company fealty that stretches back to coalmining’s earliest days.
Crum’s work histories detail these factors and more. They comprise the largest data collection on central Appalachian coalminers with complicated black lung. These secrets of the disease’s resurgence await Crum’s analysis.illing them.”
Coalmining is also rife with bent rules. Just because a federal protection is in place doesn’t mean companies and miners observe it – employees of Armstrong Coal were recently indicted in western Kentucky for conspiring to falsify dust readings.
“If we figured out how to mine these seams in a safe fashion, it would be worth more than any coal seam or strip job or truck mines that any of these companies would ever have,” says Crum. “They could figure that out and market it to the world.” Thus far, though, no industry executive has come knocking on Crum’s door.
Crum wants to protect miners but he is also a coalmine owner-operator’s grandson who doesn’t “want to see the coal industry hurt. You know, ’cause we were in the coal business forever.”
Crum’s attitude reflects our current coalmining era. In the 1960s, the narrative was the industry versus the workers, who had the public sympathy and strength in numbers. Now, the story that coal country likes to tell itself is one of a beleaguered industry and its workers united against a “war on coal”, in which zealous environmentalists threaten to put them all out of business – though a shrinking global market is the real culprit.
A bipartisan pair of local legislators are pushing back, though. In mid-November, Angie Hatton, a Democrat, and Robert Goforth, a Republican, pre-filed a bill to reverse HB-2’s restriction of B-readers to pulmonary specialists. The bill will be taken up in the 2019 general assembly starting in January.
‘It’s killing them’
Without doubt, black lung is difficult to diagnose. That early-stage black lung often presents with no symptoms adds to the challenge.
Doctors commonly misdiagnose the early stages in which miners can become prone to bronchitis or pneumonia. It’s not uncommon for a miner to learn he “has the spots” from an x-ray or scan to assess another ailment such as back pain.Experts contend that, had the cases that ended up in Crum’s load been spread out over 200 clinics, we would still not know this epidemic exists. Pike county, which borders West Virginia and Virginia, is the epicenter for a reason. Hazard No 4, Upper Wax, Pardee, Amburgy, Poplar Lick: central Appalachian coal seams have their own particular poetry and lethalness. Now that thicker seams of coal have been mined out and more rock must be cut, miners have been exposed to greater amounts of respirable crystalline silica dust, which is largely to blame for the spike in complicated black lung.
There are other causes, too: more powerful machinery, longer workdays, fewer days off for miners to rest their lungs and a culture of company fealty that stretches back to coalmining’s earliest days.
Crum’s work histories detail these factors and more. They comprise the largest data collection on central Appalachian coalminers with complicated black lung. These secrets of the disease’s resurgence await Crum’s analysis.illing them.”
Coalmining is also rife with bent rules. Just because a federal protection is in place doesn’t mean companies and miners observe it – employees of Armstrong Coal were recently indicted in western Kentucky for conspiring to falsify dust readings.
“If we figured out how to mine these seams in a safe fashion, it would be worth more than any coal seam or strip job or truck mines that any of these companies would ever have,” says Crum. “They could figure that out and market it to the world.” Thus far, though, no industry executive has come knocking on Crum’s door.
Crum wants to protect miners but he is also a coalmine owner-operator’s grandson who doesn’t “want to see the coal industry hurt. You know, ’cause we were in the coal business forever.”
Crum’s attitude reflects our current coalmining era. In the 1960s, the narrative was the industry versus the workers, who had the public sympathy and strength in numbers. Now, the story that coal country likes to tell itself is one of a beleaguered industry and its workers united against a “war on coal”, in which zealous environmentalists threaten to put them all out of business – though a shrinking global market is the real culprit.
“What we’re seeing in central Appalachia right now is the prequel to what you will see occurring in the rest of the United States coal fields, over the decades to come,” Crum says of the current crisis. He predicts that all of the other coal-producing countries – Canada, China, India, Australia and others – will see an increase in black lung disease as higher-quality seams of coal are mined out. “This is a massive problem. And it’s just gonna get worse.”
“I think with a huge problem there comes huge solutions,” says Crum, maintaining optimism despite all the illness he’s seen in so many men much like him.
“I would just much rather see people come together and figure out how to fix it because we can,” he says. “There’s fewer companies now so you have fewer people that could come together and work together and change it.”
But that doesn’t mean he will be backing down any time soon.
When asked if any of the state’s powerful coal industry leaders have said he’s the bad guy, Crum says, “I’m sure they all think I’m the bad guy, because if these guys have it, then I’m gonna stand up for them.” He then adds, “Because they do have it. And it’s killing them."
No comments:
Post a Comment